A team of orthopedic surgeons in South Korea has successfully replaced an entire ankle bone — the talus — with a custom 3D printed titanium implant.
The study, published in The Journal of Foot and Ankle Surgery by Dr. Bomsoo Kim of Inha University and Dr. Myung-Geun Song of Catholic Kwandong University, is the first to report clinical outcomes of a pure titanium 3D printed total talus replacement. Previous versions of this surgery used ceramic or titanium alloy implants, but never one made entirely from commercially pure titanium, designed and fabricated with selective laser melting on a 3D Systems DMP 350 metal printer.
Prof. Bomsoo Kim (right) and CubeLabs Inc. successfully performed a complex total ankle replacement with correction of a severe calcaneal bone defect, utilizing a Hintermann × TiTalus patient-specific total talus implant combination.
The Problem: When the Ankle Bone Dies
The talus is a small, complex bone in the ankle that connects the leg and foot, allowing the up-and-down motion that is necessary for walking and balance. When blood flow to the talus stops, a condition known as avascular necrosis (AVN), the bone can collapse and even disintegrate, causing chronic pain and stiffness.
For decades, patients with severe talar destruction had only one option, fusion surgery, where the ankle bones are permanently joined together. While this eliminates pain, it also eliminates motion. In essence, the patient trades movement for stability.
The idea of replacing the talus itself, instead of fusing the joint, is relatively new — and risky. The bone is small, unusually shaped, and surrounded by delicate cartilage. If anything in medicine seems impossible, that’s usually where 3D printing comes in, especially in personalized care, where these unique cases require solutions that conventional implant makers just don’t offer.
The 3D printed titanium total talar prosthesis.
How the 3D Printed Solution Works
To create each implant, Dr. Kim’s team started with CT scans of the patient’s ankles. In cases where the talus was too damaged to scan it properly, they used the healthy opposite ankle as a model, “digitally mirrored and fine-tuned to fit.”
Each prosthesis was then 3D printed from pure titanium (Grade 2) using a 3D Systems DMP 350 printer operated by Cube Labs Inc., a Korean medical device company specializing in orthopedic 3D printing. The machine uses selective laser melting (SLM), fusing layers of titanium powder into a solid, anatomically accurate structure.
3D Systems DMP Flex 350 printer. Image courtesy of 3D Systems.
Interestingly, the printed talus has internal cavities to reduce weight, and a smooth, sealed exterior to flow naturally within the ankle joint. After printing, the implant was finished and sterilized in a certified GMP (Good Manufacturing Practice) facility before being surgically inserted.
The Results: A New Lease on Mobility
The team performed total talus replacements (TTR) in 39 patients suffering from either primary or post-traumatic AVN, following them for an average of two years. The results were incredible. According to the surgeons, pain levels dropped from an average of 8.2 out of 10 before surgery to just 2.1 afterward. Ankle mobility nearly doubled, from roughly 50° to over 95°. And over 90% of patients said they were “very satisfied and would undergo the procedure again.”
According to the professionals, complications were rare and minor; only a few patients developed small bone spurs or cysts, and two had slight settling of the implant, but none needed another surgery.
“Short-term outcomes of TTR using pure titanium prostheses were favorable, showing significant pain relief, functional recovery, and high satisfaction,” the authors wrote. “Pure titanium TTR is a feasible and effective treatment for primary or post-traumatic talar AVN.”
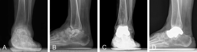
Standing anteroposterior (AP) and lateral radiographs of a 63-year-old female patient with primary avascular necrosis of the talus.
While 3D printing has already transformed the production of custom medical implants, including hips, jaws, and skull plates, printing an entire ankle bone out of pure titanium is a major leap forward.
The study noted that earlier talus replacements were made from ceramic or cobalt-chrome alloys, which were often heavy, brittle, or less biocompatible. Titanium alloys have been tested before, but this is the first report of a fully pure titanium talus prosthesis in a large patient series.
What’s more, the research explains that pure titanium is light, flexible, and works well with the human body. That makes it ideal for joints, easing pressure on nearby cartilage and lowering the risk of allergic reactions. With 3D printing, each implant can be made to fit perfectly and produced in weeks instead of months.
The 3D printed titanium total talar prosthesis.
The study also shows how 3D printing lets doctors perform custom, joint-saving surgeries. Instead of fusing joints or using standard implants, they can now scan, print, and replace entire bones with precision-made ones for each patient.
Dr. Kim’s group is now following patients long-term to see how these implants hold up over five to ten years, but the early evidence is strong: people who once lived with a stiff, painful ankle are walking freely again thanks to a 3D printed part made of titanium. If anything, this is proof that 3D printing is maturing into a standard surgical tool, capable of rebuilding parts of the human body better than any traditional methods could ever achieve.
All images courtesy of Cube Labs, Inc. and the research teams at Inha University College of Medicine and Catholic Kwandong University International Saint Mary’s Hospital (Journal of Foot and Ankle Surgery, 2025), unless otherwise noted.
Subscribe to Our Email Newsletter
Stay up-to-date on all the latest news from the 3D printing industry and receive information and offers from third party vendors.




